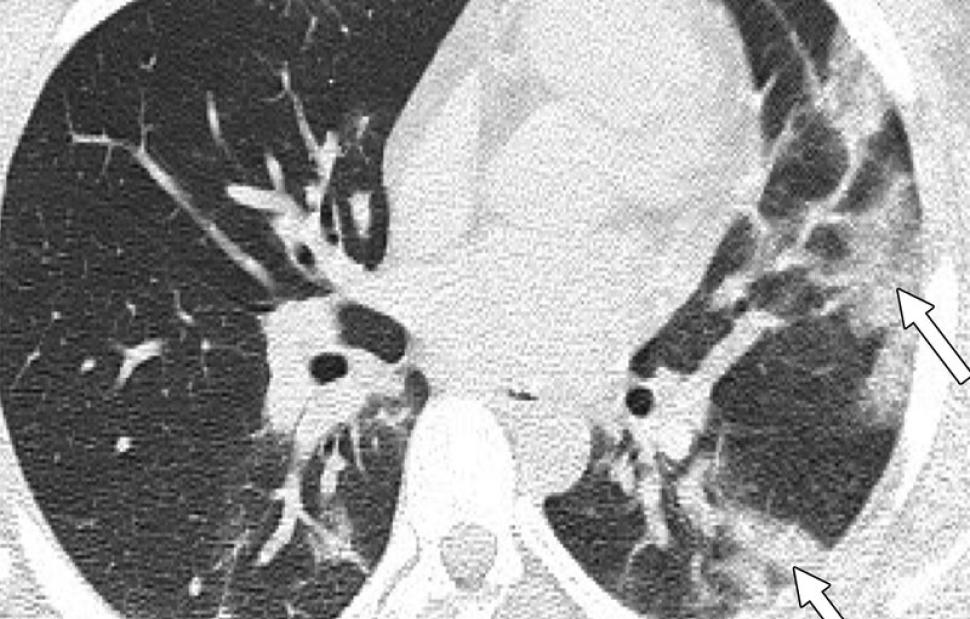
Ο Γκίκας Μαγιορκίνης, καθηγητής επιδημιολογίας και μέλος της επιτροπής εμπειρογνωμώνων, μέσα από μία ανάρτηση στο Facebook επισήμανε τις βλάβες που μπορεί να προκαλέσει ο κορωνοϊός στους πνεύμονες, ακόμα και στους νέους χωρίς υποκείμενα νοσήματα.
Ο καθηγητής, δημοσιεύοντας φωτογραφίες από αξονικές τομογραφίες νέων κάτω των 18 ετών, χωρίς υποκείμενα νοσήματα ή ανοσοκαταστολή, έκανε έκκληση για περισσότερους εμβολιασμούς κατά της Covid – 19.
«Οι ασθενείς δεν χρειάστηκαν συμπληρωματικό οξυγόνο, διασωλήνωση ή ΜΕΘ. Πρόκειται για απλά κοινά περιστατικά Covid-19. Ωστόσο έχουν πολύ “εντυπωσιακές” βλάβες και είναι άγνωστο τι θα προκαλέσουν αυτές οι βλάβες σε βάθος χρόνου», υπογράμμισε.
«Για την πλειονότητα του κόσμου το ερώτημα είναι απλό: Θέλουν να υποβάλουν τους πνεύμονές τους σε αυτές τις βλάβες για να δουν αν αντέχουν; Και αν αντέξουν την πρόκληση (όπως προβλέπεται ότι θα αντέξουν οι περισσότεροι νέοι) θέλουν να δουν πόσα χρόνια ή αντοχές έχασαν στην πορεία; Με το εμβόλιο προστατεύουμε τους πνεύμονές μας από βαρύτατη καταπόνηση!», κατέληξε.

Ακολουθήστε το Lykavitos.gr στο Google News
και μάθετε πρώτοι όλες τις ειδήσεις