Πέμπτη
25 Δεκεμβρίου 2025

Ηράκλειο: Αγοράκι τεσσάρων ετών κατάπιε κέρμα και βρέθηκε στο νοσοκομείο

Ελλάδα

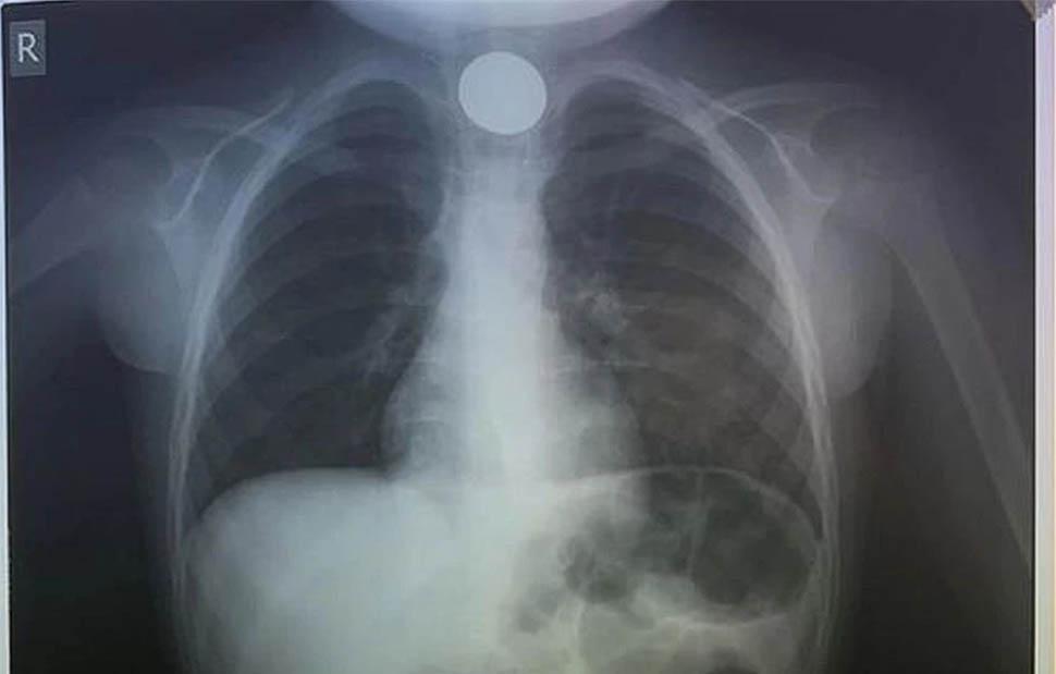
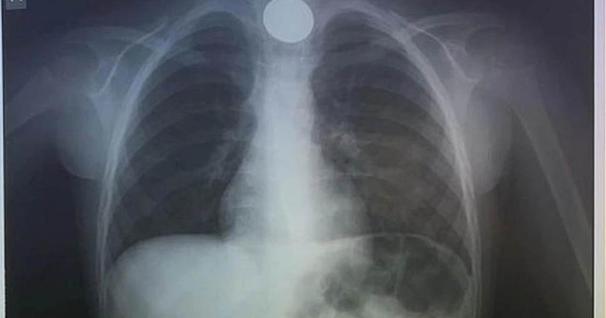
Αγωνία για ένα 4χρονο αγόρι και τους συγγενείς του, στο Ηράκλειο Κρήτης, καθώς το παιδί κατάπιε κέρμα που μάλιστα του στάθηκε στον λαιμό.

Οπως αναφέρει το neakriti.gr, ο μικρός μεταφέρθηκε από τους γονείς του στο νοσοκομείο, λίγες ώρες πριν την έλευση του 2024.

Η πρώτη κίνηση των γιατρών, ήταν να του κάνουν ακτινογραφία, για να δουν το σημείο που είχε σταθεί το νόμισμα.

Οι γιατροί στο ΠΑΓΝΗ κατάφεραν να αντιμετωπίσουν το περιστατικό και το 4χρονο παιδί επέστρεψε σπίτι του και άλλαξε χρόνο με την οικογένεια του.

Οι γιατροί της Ωτορινολαρυγγολογικής Κλινικής του ΠΑΓΝΗ, σε ανάρτηση τους αναφέρουν, «Αποχαιρετάμε το 2023 με επείγουσα αφαίρεση σε κατάποση κέρματος σε 4χρονο. Καλή Χρονιά».

Ακολουθήστε το Lykavitos.gr στο Google News
και μάθετε πρώτοι όλες τις ειδήσεις


Διαβάστε ακόμη

Πικέρμι: Βίντεο-ντοκουμέντο από τροχαίο με εγκατάλειψη – Τραυματίστηκε σοβαρά 22χρονος

Τροχαίο ατύχημα με εγκατάλειψη έγινε το βράδυ της Δευτέρας στη λεωφόρο Μαραθώνος, στο Πικέρμι. Ένας 22χρονος οδηγός μοτοσικλέτας και νοσηλεύεται στο νοσοκομείο. Ο οδηγός του αυτοκι...

Κρήτη: Εντοπίστηκε σκάφος με 40 μετανάστες ανήμερα των Χριστουγέννων - Ανάμεσά τους ανήλικα παιδιά

Νέο περιστατικό διάσωσης μεταναστών σημειώθηκε ανήμερα των Χριστουγέννων σε θαλάσσια περιοχή νότια του Ηρακλείου στην Κρήτη. Σύμφωνα με το neakriti.gr, σκάφος με μετανάστες εντοπίσ...

Φόρτωση άρθρων...