Παρασκευή
20 Μαρτίου 2026

Κλινική δοκιμή φέρνει πιο κοντά τη δυνατότητα διάγνωσης της νόσου Αλτσχάιμερ

Ευ ζην

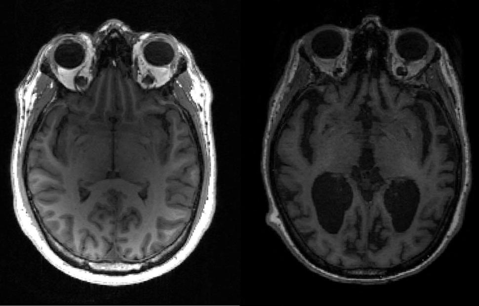
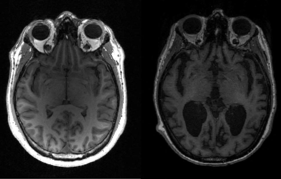
Η διάγνωση της νόσου Αλτσχάιμερ γίνεται όλο και πιο προσιτή και λιγότερο επεμβατική χάρη στις επιστημονικές εξελίξεις στην ανάλυση βιοδεικτών στο αίμα. Μια διεθνής κλινική δοκιμή εξέτασε με επιτυχία τη χρησιμότητα της πρωτεΐνης p-tau217 για την ανίχνευση αυτής της νευροεκφυλιστικής νόσου σε δείγμα 1.767 ασθενών από την Ισπανία, τη Σουηδία και την Ιταλία. Τα αποτελέσματα δημοσιεύθηκαν την Τετάρτη στο περιοδικό Nature Medicine.

Μέχρι σήμερα, οι πιο αξιόπιστες μέθοδοι για την ανίχνευση της νόσου Αλτσχάιμερ απαιτούσαν επεμβατικές και δαπανηρές τεχνικές, όπως η λήψη εγκεφαλονωτιαίου υγρού. Οι επιστήμονες διερευνούν εδώ και χρόνια τη δυνατότητα εντοπισμού της νόσου, η οποία προσβάλλει 800.000 άτομα μόνο στην Ισπανία, με μια εξέταση αίματος, λόγω των δυνατοτήτων της να βελτιώσει την έγκαιρη διάγνωση.

Στη μελέτη συμμετείχαν ασθενείς με γνωστικά συμπτώματα συμβατά με τη νόσο Αλτσχάιμερ, με μέση ηλικία 73 ετών. Από τον συνολικό αριθμό των συμμετεχόντων, περισσότεροι από τους μισούς ήταν γυναίκες. Το έργο επιστημόνων που συνδέονται με διάφορα ισπανικά κέντρα υπήρξε θεμελιώδες στην έρευνα: το Νοσοκομείο del Mar, το Κέντρο Έρευνας του Εγκεφάλου Beta της Βαρκελώνης (BBRC), το ερευνητικό κέντρο του Ιδρύματος Pasqual Maragall, το Αυτόνομο Πανεπιστήμιο της Βαρκελώνης και το Ινστιτούτο Επιστήμης και Τεχνολογίας της Βαρκελώνης (BIST).

Η έγκαιρη ανίχνευση στα κέντρα υγείας

Η μελέτη ανέλυσε δείγματα τόσο σε εξειδικευμένα κέντρα (1.219 περιπτώσεις) όσο και στην πρωτοβάθμια περίθαλψη (548), με τη βοήθεια μιας αυτοματοποιημένης πλατφόρμας, της Lumipulse, η οποία είναι διαθέσιμη σε πολλά κέντρα υγείας.

Τα αποτελέσματα επιβεβαιώνουν την κλινική χρησιμότητα του βιοδείκτη p-tau217 για την ανίχνευση της νόσου Αλτσχάιμερ και υποστηρίζουν την πιθανή ενσωμάτωσή του στις διαβουλεύσεις πρωτοβάθμιας περίθαλψης, γεγονός που θα επέτρεπε τον πληθυσμιακό έλεγχο μεγάλης κλίμακας. Η έγκαιρη και ευρεία διάγνωση αποτελεί καθοριστικό βήμα προς ένα μέλλον όπου η αντιμετώπιση της νόσου Αλτσχάιμερ θα είναι πολύ πιο αποτελεσματική.

Σύμφωνα με τον Ελόι Ροντρίγκεζ, επικεφαλής του Τμήματος Νευρολογίας στο Πανεπιστημιακό Νοσοκομείο Marqués de Valdecilla-IDIVAL, η πρόοδος αυτή "θα συμβάλει στον εκδημοκρατισμό της βιολογικής διάγνωσης ακριβείας της νόσου Αλτσχάιμερ", η οποία θα αποφύγει σε πολλές περιπτώσεις πιο επεμβατικές ή δυσπρόσιτες τεχνικές, όπως η οσφυονωτιαία παρακέντηση ή η PET αμυλοειδούς, μια πολύ ακριβή απεικονιστική εξέταση. Ο εμπειρογνώμονας είναι αισιόδοξος για τη δυνατότητα επέκτασης της χρήσης αυτού του δείκτη "από εξειδικευμένες σε λιγότερο εξειδικευμένες επισκέψεις".

Ακολουθήστε το Lykavitos.gr στο Google News
και μάθετε πρώτοι όλες τις ειδήσεις


Διαβάστε ακόμη

«Προλαμβάνω»: Πάνω από 65.000 γυναίκες με ευρήματα στους προληπτικούς ελέγχους για τον καρκίνο του μαστού

Περισσότερες από 65.000 γυναίκες στην Ελλάδα έχουν εντοπιστεί έγκαιρα με ευρήματα που σχετίζονται με τον καρκίνο του μαστού στο πλαίσιο του προγράμματος «ΠΡΟΛΑΜΒΑΝΩ», γεγονός που α...

Τεχνητή Νοημοσύνη εντοπίζει τον κίνδυνο καρδιοπάθειας μέσα από τη μαστογραφία

Ο κίνδυνος σοβαρής ή θανατηφόρας καρδιακής νόσου μπορεί να προβλεφθεί μέσω ανάλυσης Τεχνητής Νοημοσύνης στις μαστογραφίες, σύμφωνα με νέα έρευνα που δημοσιεύθηκε στο επιστημονικό π...

Φόρτωση άρθρων...